
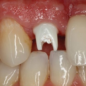
Pediatric Dentistry Cost in Dubai & Abu Dhabi
Many guardians compromise the oral strength of their kids due to exorbitant pediatric dentistry systems. While some of them aren’t
Published By Royal Clinic Dubai at 17th June 2022
Many guardians compromise the oral strength of their kids due to exorbitant pediatric dentistry systems. While some of them aren’t…
Read MorePublished By Royal Clinic Dubai at 16th June 2022
With age, the functional and aesthetic features of female genitalia change and need to be rejuvenated. Plasma therapy in gynecology…
Read MorePublished By Royal Clinic Dubai at 16th June 2022
If you are feeling ill-confident due to the lost appearance of your smile and want to enhance the natural look…
Read MorePublished By Royal Clinic Dubai at 16th June 2022
Multiple children face the issue of upfront teeth that make their confidence low due to the reason of disturbing their…
Read MorePublished By Royal Clinic Dubai at 16th June 2022
Depending on time and age, loosening, sagging, and wrinkles may occur in the genital area tissue. With the applications made…
Read MorePublished By Royal Clinic Dubai at 16th June 2022
The most common pathology is the prolapse of the walls of the vagina, anterior and posterior, both. Such an anomaly…
Read MorePublished By Royal Clinic Dubai at 16th June 2022
Partake in a more normal-looking grin. In the event that your teeth show up excessively short or on the other…
Read MorePublished By Royal Clinic Dubai at 16th June 2022
Multiple people look forward to getting their weight loss through surgical procedures which involve bariatric surgeries such as gastric sleeves…
Read MorePublished By Royal Clinic Dubai at 15th June 2022
If your skin is losing its brightness and volume and you want to have an invasive procedure to get it…
Read MorePublished By Royal Clinic Dubai at 14th June 2022
Today, making a conscious effort to look young and well-groomed is not limited to women. Men also look for aesthetic…
Read More
Many guardians compromise the oral strength of their kids due to exorbitant pediatric dentistry systems. While some of them aren’t

With age, the functional and aesthetic features of female genitalia change and need to be rejuvenated. Plasma therapy in gynecology

If you are feeling ill-confident due to the lost appearance of your smile and want to enhance the natural look

Multiple children face the issue of upfront teeth that make their confidence low due to the reason of disturbing their

Depending on time and age, loosening, sagging, and wrinkles may occur in the genital area tissue. With the applications made

The most common pathology is the prolapse of the walls of the vagina, anterior and posterior, both. Such an anomaly

Partake in a more normal-looking grin. In the event that your teeth show up excessively short or on the other

Multiple people look forward to getting their weight loss through surgical procedures which involve bariatric surgeries such as gastric sleeves

If your skin is losing its brightness and volume and you want to have an invasive procedure to get it

Today, making a conscious effort to look young and well-groomed is not limited to women. Men also look for aesthetic
insurance companies























Contact Us
Home | About Us | Doctors | Blog | Contact Us | HTML Sitemap |
Enfield Royal Dubai. All Rights Reserved. Approved By Ministry Of Health. License No: 3373832 – Privacy Policy – Disclaimer – Patient Policy