
Having misaligned teeth is an aesthetic problem, but it can also be functional. It consists of decompensation of the upper teeth compared to the lower ones, which gives the upper incisors a prominent or protruding appearance. These are commonly considered an actual pathology as the ideal would be that the upper jaw falls on the lower jaw in an aligned way. The problem usually arises in childhood, and you should get Protruding Teeth Treatment in Dubai & Abu Dhabi as soon as possible.
Why get them Treated?
It is an aesthetic problem, but this is not the only reason they should be treated as soon as possible. In fact, in addition to ruining a smile, they can be a functional problem of malocclusion. This means that you will have a malfunction of the teeth, both anterior and molars, as they do not find the necessary pressure. In cases like these, there can be difficulties in feeding or a greater risk of fracturing the upper incisors. The risk of Periodontics Gum Disease and tooth decay is also higher.
Results of Protruding Teeth Dubai:
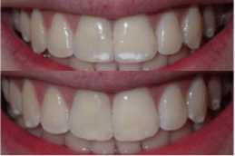
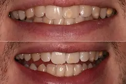
The aesthetic defects are corrected effectively, occlusion problems will be solved, you will have a beautiful smile, and your self-esteem will increase. If you have gum inflammation, it will also be treated.


Benefits:
The treatment has the following advantages:
- Fast and Removable: The treatment does not cause any annoyance when it comes to treating the problem.
- Beautiful Smile: Refresh your smile with equally aligned teeth and with permanent treatment.
- Improved Appearance: This is an excellent investment for the overall look.
- Defect Removal: Reduces defects caused by age, wear, stains, and discoloration. This can happen gradually and can be very embarrassing.
- Enhanced Self-Esteem: Smile again with renewed confidence and without worrying about your teeth looking weird.
Treatment Options:
The following two options are most commonly used to treat the Protruding Teeth in Dubai & Abu Dhabi:
Invisalign:
These are transparent and inconspicuous constructions that treat in the same way as braces. Only orthodontic treatment with these aligners is more aesthetic, and all inconveniences go to zero. They are able to change the position of the first molars (6 teeth), which allows not only visually straightening the teeth but also really correcting the bite.
Braces:
The treatment is the responsibility of Orthodontist. In fact, the application of braces is the leading solution to bring the teeth back to their correct position. Which devices to use and for how long depends on the starting situation and the patient’s age. In fact, since children are in the developmental phase, broader and more incisive interventions are possible, using functional orthopedic appliances to create interceptive orthodontic plans.
Procedure:
Many people are concerned only with the aesthetic side of the problem, aiming to correct perhaps only the protruding incisors; however, this is a wrong approach because it does not solve the defect at the root.
A severe and effective dental care must also consider the functional aspects; limiting oneself to arranging only the most visible protruding teeth is a palliative. In fact, in a healthy dentition, all the elements must be in harmony in a healthy dentition, and a qualified dentist should aim to restore and preserve this equilibrium.
The treatment program includes:
- A first thorough check-up by the dentist
- A radiograph to check if the protrusion of the dental elements derives from problems with the temporomandibular joint or only the arches
- An impression of the dentition that will be delivered to the orthodontist and which will be used to create the dental equipment
- Insertion of a fixed appliance, usually in the case of not very serious protrusions, or mobile. For children with milk teeth, the second solution is particularly indicated because it only guides the growth of the jaws and mandibles. The duration of therapy is generally 6 to 12 months.
- They have fixed or mobile aligners that are to be kept mainly at night and for a certain period after the primary orthodontic treatment. It is used to maintain the new condition and allow a lasting result over time.
Quick Tip! In case of this problem, the advice is to contact your trusted dentist immediately.
Cost of Protruding Teeth in Dubai:
The Cost of Protruding Teeth Treatment in Dubai can range from AED 7999 to AED 15000. The cost of each treatment varies according to the problem to be solved, the complexity of the situation, the dentist’s experience, and the clinic level. The doctor will determine the actual cost of treatment after the initial consultation.
Takeaway:
However, it must be said that it is not possible to establish an equal and safe treatment for everyone since the variables involved are many, and much depends on the dentist’s ability. As we age, the matter becomes more complex. However, experts at Enfield Royal Clinic can provide the most effective Protruding Teeth Treatment in Dubai, Abu Dhabi & Sharjah at the most affordable rates.
Book a Free Appointment!
We are providing consultation at the lowest cost of AED 100. To schedule a free consultation with specialists at Enfield Royal Clinic, complete the form below and have this procedure done with us.
Protruding Teeth FAQ’s:
How Do I Stop My Front Teeth From Protruding?
There are no natural ways to stop teeth from protruding and most cases require wire braces to help pull back the teeth into position over time.
How Long Does It Take To Fix Protruding Teeth?
If the person is under the age of 18, the time and effort it takes for the braces to straighten teeth is less compared to older patients. In milder cases, some quick orthodontic treatment options such as veneers or aligners can also correct tooth position.
Do Protruding Teeth Get Worse With Age?
With increasing age, the jaw bone loses density and mass, allowing the teeth to shift in their position. This can lead to protrusion and can cause an overbite or underbite. Simply put, if not treated, Protruding Teeth can get much worse over time.
Can Aligners Fix Protruding Mouth?
Aligners are not as effective as metallic braces in correcting tooth position, so they are only recommended in mild to moderate cases of Protruding Teeth. They are considered an alternative since they are less obvious and have a better aesthetic appeal.
Is It OK To Have Protruding Teeth?
Protruding Teeth can lead to overbite or underbite. This can affect a person's diet and cause other physical concerns such as lisping, whistling, or mispronunciations of certain consonants. Apart from these concerns, there are also issues related to visual appearance caused by Protruding Teeth.
How Long Does It Take To Fix Protruded Teeth?
Treatment duration and subsequent correction can vary on a case-to-case basis. For mild to moderate cases, aligners can correct teeth position in as little as 4 months while more severe cases require braces for a couple of years.
What Are Protruding Teeth Called?
Protruding Teeth are sometimes called “Buck teeth”, “overbites” or “malocclusion of teeth”. These terms have similar meanings and can be used interchangeably depending on the nature of misalignment.
Dr. Sannia Awais
Dr. Sannia Awais has a wider experience in the field of Aesthetic Medicine, Hair restoration,... Dr. Hany Chidiac
Stay Younger Forever! Stay Young Forever From The Inside Out with our Anti Aging and... Dr Mahmoud Akrama
Dr. Mahmoud Akrama is a skilled general physician who specializes in aesthetic medicine and laser... Dr. Mahya Kanani
Dr. Mahya Kanani is a board-certified Obstetrician & Cosmetic Gynecologist. She is also DHA registered... Dr. Ahmed Naji Attiyah
We proudly announce yet another addition to the Enfield Royal Clinic family. Dr. Ahmed Naji... Dr. Diya Aldeen Mohammed
We are proud to announce the newest member and brilliant addition to Enfield Royal Clinics.... Dr Tamara Talib Hasan
Healthy smiles, and happy lives, Choose your path to oral wellness with our professional dentists-Dr... Dr. Nabaa A.Raheem
Redefine Your Beauty Standards With Expert Guided Treatments from Dr. Nabaa A. Raheem. Dr. Nabaa... Dr Rashah Al Ahmed
Eat smart, and live well—your journey to health starts here with our expert nutritionist and... Dr. Nagham Mohammed Karagholli
Dr. Nagham Mohammed Karagholli: Precision Surgery for a Healthier Tomorrow! A surgeon specializing in laparoscopic... Dr. Abdullah Hussam Mezel
Transform Your Smile with Precision and Expert Care – Dr. Abdullah Hussam Mezel. Dr. Abdullah... Dr.Nibras Sufeian AlDoori
Dr. Nibras Sufeian AlDoori: Where Family Care Meets Timeless Beauty! Dr. Nibras Sufeian is a... DR. Mohamad Sameer Alsalih
Radiant skin, confident you—discover your journey to flawless skin with Dr. Mohamad Sameer Alsalih. Dr.... Dr. Hani Al Mozawer
He is a leading urologist with over 05 years of experience, renowned for his expertise in... Dr Mohammad Abu Al-izz
Mohammad Abu Al-Izz — Understanding Minds, Transforming Lives DHA & DOH Licensed | Jordanian Board-Certified... Dr. Osama Shaheen
“Your smile deserves the best dentist, Dr. OSAMA SHAHEEN, who crafts Confident Smiles with Precision... Dr. Tamim Hasan
“Dr. Tamim Hasan– an experienced and expert dentist committed to delivering precise and compassionate dental...
































