
Fed up with a persistent toothache and oral sensitivity interfering with your usual chores? No further worries! Enfield Royal Clinic delivers top-tier Root Canal Treatment in Dubai to revive your oral wellness without excessive extractions. Our accurate, pain-controlled procedures cleanse and repair your teeth’s innate structure, focused on combating infection, relieving unease, and preserving your original smile.
Imagine resilient, entirely functional teeth that allow you relish meals, conversations, and smiling effortlessly. With our premium technology and the least recovery period, you can guard and sustain your oral well-being. Let go of the tooth soreness and reveal a bright, self-assured smile!
Quick Facts!
- 💰Cost: Ranges from AED 2,000 to AED 6,000.
- ⏱️Time taken: 45-90 minutes/ session (influenced by condition’s severity).
- ✨Treatment Aims: Clears infection, eases toothache, and safeguards teeth’s structure for enduring oral wellness.
- 🧪Treatment Plan: Generally, 1-3 sessions are required for completion, followed by durable restoration (filling/ crown) to enhance tooth integrity.
- 💡 Technologies We Utilize: Apex locators, biocompatible filling materials, Rotary endodontic instruments, and digital X-rays.
- 🏥 Setting: Outpatient, doesn’t require hospitalization.
What is Root Canal Treatment?
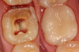
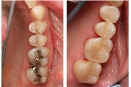
Root Canal Treatment, also referred to as “endodontic therapy”, appears to be a generally pain-free dental procedure that is formulated to preserve a cavitated or decayed tooth. It entails the elimination of inflamed or irritated tooth pulp from the tooth’s interior, meticulously sterilizing the root canals following their sealing to block infection. Ultimately, a crown is strategically positioned to revive the tooth’s functionality. This endodontic treatment eases soreness, keeps infections at bay, and significantly facilitates the preservation of the innate tooth for prolonged oral wellness.

What is the Cost of Root Canal Treatment in 2026, Dubai?
Generally, the price bracket for root canal treatment in Dubai sets off from AED 2000 and can exceed AED 6000 each session. The ultimate pricing is decided by assessing other aspects that mainly involve the treated tooth (molar, front, or premolar), infection’s complexity, utilized technology, clinical standing, and individualized treatment requirements. A detailed pricing breakdown is tabulated as follows:
| Treatment Approach | Estimated Price |
| Single-Canal Tooth | AED 999 – AED 2000 |
| Multi-Canal Tooth | AED 1500 – AED 3000 |
| Advanced Microscope-Assisted Root Canal | AED 3000 – AED 5000 |
| Follow-Up / Restoration (Filling or Crown) | AED 4000 – AED 6000 |
When is a root canal needed?
An individual might require this dental pulp therapy if their inner tooth gets infected or inflamed. Thai could occur if you encounter:
| Causes | Description |
|
Severe cavities enable bacteria to invade the tooth’s nerves. |
|
Successive treatments can irritate or even injure the tooth’s pulp. |
|
Gums regression and bone shrinkage might reveal roots as well as pulp. |
|
Fractures and injuries can let infection penetrate the inner tissues. |
|
Bacterial accumulation can also be triggered by ill-fitted or loose oral restorations. |
How do I know if I need this procedure?
Below are the indications to consider receiving this tooth nerve treatment:
✅Intense tooth decay or cavities extending into the tooth’s pulp.
✅Compromised or defective oral restorations.
✅Gum illnesses exposing tooth roots.
✅Consistent tooth trauma or ache while chewing.
✅Gums inflammation or tenderness.
✅Teeth staining/ discoloration (dark or grey).
✅Prolonged teeth sensitivity to temperature shifts.
✅Infected gums.
How do you know if a root canal is infected?
- ➪If you experience an ache that begins involuntarily, particularly severe at nighttime, and cannot be tackled with painkillers.
- ➪Tooth trauma, linked with the consumption of hot/cold drinks that persist for an extended period.
- ➪If you encounter teeth/ gums’ inflammation either externally or internally.
- ➪Changes in tooth shade.
Benefits of Root Canal Treatment
It delivers the following benefits:
1️⃣Eases Tooth Discomfort: by instantly extracting the irritated or infected pulp, this treatment provides instant relief from severe tooth trauma and tenderness.
2️⃣ Prevents Infection Transmission: Through bacterial elimination from the tooth’s core tissues, this tooth infection treatment obstructs the infection’s spread possibility to adjacent gums, jawbone, or teeth.
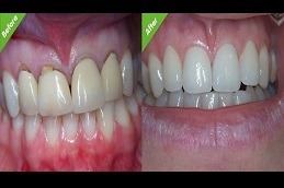
3️⃣Retains Tooth’s Realistic Appearance: Treated teeth can be covered with a crown, which is intended to retain the smile’s original aesthetics and to enhance its visual appeal.
4️⃣Minor Discomfort & Instant Recovery: Another notable positive of this treatment is that the majority procedures do not induce painful sensations and allow instant continuation of the usual activities.
5️⃣Preserves your Original Teeth: It safeguards the tooth’s innate structure by not entirely extracting the entire tooth, thus enabling its usual functioning for several years.
6️⃣Low-Cost Option: Being reasonably priced in comparison with other options, such as extraction and tooth replacement with a bridge or a crown, the client is not expected to invest several dirhams on a single treatment.
7️⃣Sustains oral Wellness: Original tooth maintenance further aids in jawbone structure preservation, strengthens adjacent tissues, and facilitates comprehensive oral wellness.
Desired Candidates for Root Canal Therapy
| Who Should Seek this treatment ✔️ | Who Must Avoid this treatment ❌ |
|
|
How should I prepare for root canal treatment?
Ahead of treatment, your dentist will assess your tooth through X-rays and other screening to confirm infection. Also, you will be provided with certain instructions to comply with:
- Openly communicate your medications, clinical record, or indications with your dentist.
- If directed, administer painkillers as well as antibiotics to manage pain.
- Practice effective oral cleanliness through routine flossing or brushing.
- In case of nervousness, it is advisable to go over options/sedational choices to lessen anxiety.
- Prior to your scheduled visit, the consumption of a light meal is encouraged.
What happens during root canal treatment?
It covers the following stages:
Step 1: Oral Assessment & Imaging
The treatment initiates with a precise tooth evaluation by a dentist or endodontist via dental X-rays. It is centered on assessing the infection’s extent and the root canal’s shape.
Step 2: Local Anesthesia Administration
Then, to ensure numbness of the treatment zone, local anesthesia in dentistry is administered. In case of nervousness, various sedative options can be provided to assist you in maintaining calmness throughout the procedure.
Step 3: Tooth Isolation
Next comes the placement of a dental dam or a cotton encircling the tooth to confirm its cleanliness or dryness during the treatment course.
Step 4: Tooth Cleaning & Shaping
To reach the tooth’s inner tissues, a tiny hole is created in the tooth crown. It is crucial to set up the canal for filling purposes.
Step 5: Pulp Removal
Via specialized equipment, pulp is extracted cautiously by the dentist to eliminate the irritated or inflamed pulp tissues.
Step 6: Disinfection
This step is characterized by the comprehensive cleaning as well as sanitization of root canals to discard bacterial buildup and ward off potential infections.
Step 7: Root Filling
Now, the hollowed root channels are capped with biocompatible, elastic material.
Step 8: Dental Crown Placement
Lastly, a dental crown is positioned to reconstruct tooth integrity and retain the crown.
How can I support Healing?
Proper post-care assists with root canal healing. Below-mentioned steps can significantly aid you in avoiding complications:
- Restrict yourself from nicotine intake as it might postpone healing.
- Till permanent crown’s placement, it is inadvisable to chew on the treated tooth’s side.
- To keep germs aside, include in your routine to utilize an antibacterial mouthwash.
- In the initial days, consume only soft meals, such as mashed potatoes, smoothies, or properly-cooked pasta.
Root Canal vs Tooth Extraction
| Features | Root Canal Treatment | Tooth Extraction |
| Purpose | Secure original teeth by eliminating infected pulp | Entire tooth elimination if it cannot be further secured. |
| Longevity | Remain intact for several years, occasionally lifelong; infection might occur post-5 to10 years. | Doesn’t entail durability and requires substitutes, such as bridges or implants. |
| Function & Appearance | Preserves the original tooth, enables usual chewing, and improves the outlook. | The tooth is gone; aesthetics and chewing remain impacted until substituted. |
| Procedure Complexity | Encompasses cleaning, desanitizing, tooth filling, and often a crown placement. | Standard tooth excision might entail minor surgery for affected teeth. |
| Recovery | Minor distress, the majority can continue their usual activities promptly. | Recovery might require an additional period, along with review visits for substitute restoration. |
Risks & Complications of root canal treatment
- Infection Recurrence ➤ compromised sealing or lingering bacteria can contribute towards reinfection, necessitating supplementary root canal therapy.
- Injury to Nearby Tissues ➤ Rarely, the procedure might impact the adjacent nerves as well as tissues.
- Tooth Removal ➤ In case of severe teeth damage or if a prior root canal does not succeed, it might require extraction, with replacement like implants or bridges reviewed by your dentist.
Results of Root Canal Dubai:
Root canal aims to save or repair a decayed and damaged tooth. The treatment is very successful; the procedure’s success rate is over 95%. Many teeth treated by a root canal can last a lifetime to save the tooth.


Relieve Discomfort, Save Your Natural Tooth—Root Canal Appointment Awaits
Still bothered by tooth soreness in 2026? It’s not even an issue, as your trusted clinic– the Enfield Royal Clinic– provides superior Root Canal Treatment in Dubai to tackle your dental concerns. Our dental treatments are carried out by licensed endodontists and certified dental specialists to deliver secure and effective outcomes. Also, our staff ensures 24/7 accessibility to guide you and assist you with your queries so that you come up with a mind clear of all reservations. Connect with our experts and secure your slot to preserve your innate teeth’s longevity.
FAQs!
What appears to be the estimated healing period in winter from root canal therapy?
Usually, fewer than a week is required for several patients with persistent tenderness considered to be considered normal. Yet, continued pain should be assessed by the dentist.
Why not extract the tooth instead of opting for root canal treatment?
Tooth extraction might result in adjacent teeth drifting, bite inconveniences, and cleaning troubles. Also, other options, such as bridges or implants, tend to be costlier.
When does tooth extraction emerge as an appropriate option rather than a root canal?
Extraction is essential in cases of intense tooth injury or incurable dental infections that are unable to be treated by root canal therapy.
Which might be the potential reasons for the tooth ache’ severity at night post-root canal?
It can occur due to the bacterial accessibility to the root resulting from compromised dental practices.
Are painful sensations associated with this treatment?
Under anesthetical administration, a root canal serves as a convenient option as a filling, though slight soreness or pressure might persist for a few days.
What’s the probable cause of the pulp extraction while having a root canal?
The excision of an inflamed or affected pulp guards the tooth and blocks infection from transferring to the jawbone as well as adjacent tissues.
In what way does a root canal distinguish from a standard filling?
Fillings are focused on addressing cavities on the tooth’s exterior while preserving the nerves. Root canals eliminate the infected nerves from the tooth core.
Can a root canal be opted for a second time also?
Yes, if due to compromised oral practices, bacteria invade the treated tooth. The root can be cleared off and closed up to address the infection.
What measures can be adopted to safeguard the root canal from getting infected?
Practice effective oral routines, keep up periodic dental assessments, and cure infection indications promptly.
On average, how much would it cost me for a root canal treatment?
AED 2,000-AED 6,000 is regarded as typical pricing for root canal treatment. Still, the exact expenditure is affirmed post-analysing several factors (outlined above).
Our DHA Certified Dentist
Dr. Tamim Hasan
Dr. Tamim Hasan is an experienced dentist at Enfield Royal Clinic in Dubai who is widely known for his dedication to oral health, patient satisfaction, and clinical excellence. With more than 7 years of experience in offering dental care, he has built a good reputation for his precise and gentle care. Dr. Tamim offers a wide range of dental services to deal with a lot of dental issues. ...
View Profile
































