PRP Injection for Rotator Cuff Tear in Dubai & Abu Dhabi Cost

The supraspinatus, infraspinatus, teres minor, and subscapularis muscles comprise the rotator cuff. The humeral head is stabilized by muscles, which also permit rotational motions of the shoulder and keep the head from shifting when the joint moves.

The supraspinatus raises the shoulder, whereas the subscapularis turns the arm inward. The little round muscle rotates outward and pulls the arm to the body, while the infraspinatus muscle moves the shoulder outward. An acute restriction in movement and loss of shoulder joint function resulting from injury to at least one of the four muscles. PRP Injection for Rotator Cuff Tears in Dubai, Abu Dhabi & Sharjah can solve all your problems.

What is a Rotator Cuff Tear?

The supraspinatus, infraspinatus, teres minor, and subscapularis tendons comprise the rotator cuff. A partial or complete tear of the aforementioned tendons is referred to as a rotator cuff tear. This rip, which is the result of the tendon’s long-term deterioration or injury, can seriously affect shoulder movement and even cause arthritis.

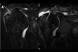
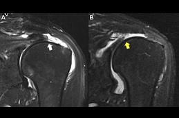
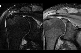
Results:

best prp-injection-for-rotator-cuff-tear in dubai prp injection for rotator cuff tear in dubai prp-injection-for-rotator-cuff-tear in Abu Dhabi

prp-injection-for-rotator-cuff-tear Clinic in Dubai Best prp-injection-for-rotator-cuff-tear Clinic in Dubai Best prp-injection-for-rotator-cuff-tear in Abu Dhabi

What are the Symptoms of Rotator Cuff Tear?

The severity of the damage’s progression determines the symptomatology fully. What signs are present?

  • Shoulder discomfort that is dull and achy. Lifting weights and sleeping on the affected side make the symptoms worse.
  • Inability to place hands behind the back or over the head, as well as the occurrence of auditory phenomena like clicks and joint crunches.
  • Shoulder joint swelling and a localized rise in temperature are symptoms of acute pathology.
  • The long-term process of muscle atrophy and limb weakness.
  • Minor muscle injuries preserve a range of motion but cause a painful arc (when the upper limb is abducted 60-120 degrees, the pain reaches a maximum).

What are the Causes of Damage?

The elderly are most frequently affected by ruptures, however, significant accidents can also cause a rupture in young people. For instance, dislocation or partial humerus fracture. Trauma is thus the most frequent reason for rotator cuff injuries.

The most frequent injury is a chronic tendon injury. This mainly applies to individuals whose professional pursuits include strenuous physical labor. Chronic inflammation and pain are caused by tension, severe stress, and frequent movement operations on the joints. Typically, a period of degenerative-dystrophic alterations comes before a spontaneous rupture or injury to the tendons. The primary factor causing tissue deterioration or genopathy is inadequate blood flow.

Procedure:

PRP Injection for Rotator Cuff Tear in Dubai & Abu Dhabi is performed through the following stages:

Stage#1

The doctor consults the patient and discusses the nature, cause, and potential benefits of various treatments. suggests a path of action while accounting for factors including age, illness, and personal traits. 5–6 procedures are often spread out across a single course at weekly intervals.

Stage#2

Up to 50 ml of blood is safely and painlessly drawn from the patient for injection, much like blood is drawn from a vein. This volume is normal for physiology and has no negative effects on the body. Platelet-rich plasma is then separated from the blood after it has been treated in a centrifuge. It only requires about 15 minutes to complete the operation.

Stage#3

The joint cavity, which is the afflicted area, is injected with plasma. The patient is then instructed to make flexion-extension motions to help the medication spread out evenly. After the surgery, there are no limitations on physical activities.

Benefits of Procedure:

The injectable regimen offers:

  • Relieving spasms and pain.
  • Encouragement of nearby metabolic processes.
  • Increased collagen production.
  • Building up and repairing articular structures.
  • Reducing the length of the recovery phase and the duration of the therapy.

Why Choose Us?

Doctors with the highest categories, candidates with degrees in the medical sciences, and doctors all attend the clinic. The Enfield Royal Hair Transplant Clinic is equipped with the most up-to-date expert-class technology, including arthroscopy, capsule enterostomy, endoscopy, functional diagnostics, ultrasound, and MRI. PRP Injection for Rotator Cuff Tear in Dubai, Abu Dhabi & Sharjah is the option for your treatment. Contact us right now to start your treatment so you won’t have to worry about it any longer.