
What are Dental Activators?
These are dental appliances that are utilized in the treatment of orthodontics for malocclusions. The process is amazing to trigger the muscular forces of the jaws to get a perfect and correct bite. There are many individuals who are having teeth that are not even & have a high risk of the formation of caries. Anyhow, the method will rectify the system of dentoalveolars in children who are between the age of five & 6. However, we are presenting the most reasonable Dental Activators Cost in Dubai, Abu Dhabi & Sharjah that will ease our valuable clients to get the treatment done
What are the Uses of Activators?
The following are mentioned the usage:
- Eases to grow jaws into a normal position.
- Rectifies the deep bite.
- Open bite is prevented.
- Best nightguard.
- Refrains from the eruption of over crowded teeth at the back.
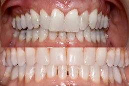
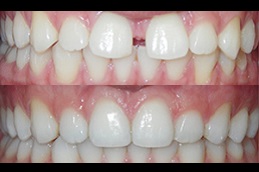
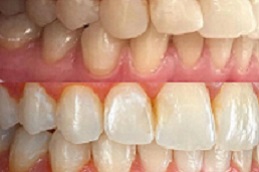
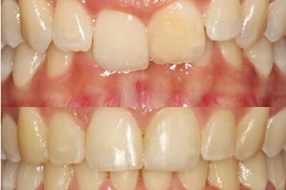
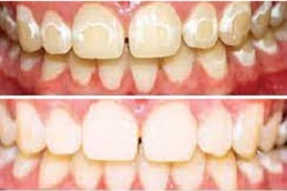
What are the Results?
It is essential to learn about the Dental Activators Cost in Dubai & Abu Dhabi the results. The consequences of the process will rectify the placement of the teeth and further assists the jaw to take the proper position & stops the formation of malocclusions. In addition, the method safeguards the child from wearing appliances that are severe & uncomfortable at an early stage of life.


Recommendations on Activator Appliance:
Usually, both appliances require care until the process is done, and the results are attained. There are some tips that are essential to follow:
- Try wearing them as long as you can.
- Parents of the client should step in and manage the daily wear.
- Clean them regularly.
- A brush can be used to clean them.
- Refrain from playing any sports activity while wearing them.
- Don’t forget to follow your oral routine, such as brushing your teeth twice a day.
What Is The Process?
The device utilizes tissues that are soft like the gums of the lips it further utilizes the force of the muscles of the jaws to force the lower jaws to move forward & downward to rectify the jaw variance. However, as per the experts at Enfield Royal Dental Clinic, the method will take a long time to accomplish but is cost-effective & amazingly effective. The duration of the method will be variable from individual to individual as every client will have a different type of defect & the extent of severity, in most cases, it takes about 8 to 12 months to show up the complete outcomes.
Furthermore, they must be worn for 12 hours at least, it’s upon the choice of the client if they want to wear them during the day or at night.
At the start of the process, it might cause soreness, pain, & inconvenience while earring an activator. But the client should not worry as it will be subsided with time.
Pros and Cons:
The pros of the method:
- They are removable.
- Flexible to utilize with other appliances.
- Effective.
- Latest designs.
- Cost-effective.
- Can be modified
The Cons Include:
- Might not feel comfortable due to their shape.
- Not apply to play sports while wearing them.
- Issue while eating so essential to remove them.
- It May cause problems while speaking.
What are the Charges?
The charges of the method as per Enfield Royal Clinic will range from AED 3000 to AED 4000. The cost of the process will fluctuate as there are various factors that will influence the cost. However, the actual cost will be known at the initial meeting with the expert of the process.
Impacting Factors of Cost:
-
The Severity of the Issue:
The expense of the process will rely on a number of teeth that are uneven. For a single jaw, the price will be different and for both jaws, the cost will be high.
-
Location & Name of the Clinic:
The price of the method also varies because of the geographical location of the clinic, if the clinic is located in a place that has high tax will definitely make the price rise. In addition, it will also rise due to the name & reputation of the clinic including how well the clinic provides extra protocols.
-
Qualification of the Expert:
The charges of the method will depend upon the training of the expert and how well the expert is experienced. The more the dentist is qualified the more will be the fee.
Be Our Happy Clients!
As soon as you are of the Dental Activators Cost in Dubai, Abu Dhabi & Sharjah book us right away to sort your concerns. We ensure to give you the most effective & long-lasting process. If you have any additional queries, feel comfortable to reach us and avail the perks!




























