
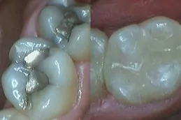
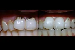
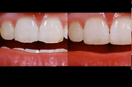
تعتبر العناية بالأسنان مهمة جداً لما لها أثر على الصحة العامة، وفي حال المعاناة من ألم ناتج عن تسوس الأسنان، تقدم عيادة رويال إنفيلد علاج حشو الأسنان في دبي والتي تُحسّن من وظائف الأسنان ومظهرها، كما تُساعد في الوقاية من مشاكل الأسنان الأخرى ومنح احتمالية فقدانها.
حقائق حول العلاج:
- هدف العلاج: منع تساقط الأسنان والحفاظ عليها.
- تكلفة العلاج: تتراوح بين 350 و800 درهم إماراتي للحشوة الواحدة.
- مدة العلاج: 20-45 دقيقة لكل سن.
- التخدير: موضعي، عند الحاجة.
- المادة: الكومبوزيت، الأملغم، السيراميك، الذهب.
- مدة صلاحية العلاج: 5-15 سنة.
جوهر حشو الأسنان:
حشو الأسنان في دبي هو إجراء تجميلي وصحي يتم فيه حشو تجاويف الأسنان بمادة آمنة، ويتم استخدام أنواع مختلفة من المواد، حيث يتم اختيار المادة الأمثل بناءً على توصيات طبيب الأسنان واحتياجات ومتطلبات المريض، حيث أن الهدف هو استعادة وظيفة الأسنان وتحسين مظهرها.
النتائج:
يهدف حشو الأسنان إلى ملء التجويف الناتج عن عدة عوامل. الحشوات بأنواعها مختلفة وفي أغلب الأحيان تكون الحشوات دائمة.




فوائد حشو الأسنان:
يتميز حشو الأسنان في دبي بالعديد من المزايا كما هو مذكور أدناه:
- المحافظة على بنية الأسنان الأصلية.
- منع تسوس الأسنان المجاورة.
- تخفيف الألم والحساسية.
- تحسين المضغ ووظائف الأسنان الأخرى.
- تحسين مظهر الأسنان أيضاً.
- تقنية سريعة وغير جراحية.
- نتائج العلاج تدوم لفترة طويلة.
أسباب الحاجة لحشو الأسنان:
يمكن الحصول على حشوة تجويف الأسنان لأسباب مختلفة كما هو مذكور أدناه:
| تسوس الأسنان وتآكلها | يساعد ذلك على إصلاح الجزء التالف من السن ومنع المزيد من الخسائر |
| الأسنان المتشققة أو المكسورة | يحافظ على بنية الأسنان ويمنع العدوى |
| الأسنان المهترئة | يحسن مظهر الأسنان ووظيفتها. |
المواد المستخدمة في حشوات الأسنان:
يتم استخدام أنواع مختلفة من المواد لحشو تجويف الأسنان، حيث انه كل مادة مُصممة خصيصاً لتلبية احتياجات ومتطلبات المرضى المختلفة كالتالي:
الكومبوزيت:
- لونه مطابق للون السن الطبيعي.
- متوسط عمر الحشو (5-7 سنوات).
الأملغم:
- لونه معدني (رمادي فضي).
- متوسط عمر الحشو عالي (10-15 سنة).
الذهب:
- لونه ذهبي معدني.
- متوسط عمر الحشو عالي جداً (15 سنة فأكثر).
السيراميك:
- مصنوع من البورسلين.
- متوسط عمر الحشو عالي (10-15 سنة).
لونومر زجاجي:
- لونه مطابق للسن.
- متوسط عمر الحشو منخفض إلى متوسط.
المرشح المثالي لحشو الأسنان في دبي:
يمكن الحصول على علاج حشو الأسنان في دبي في الحالات التالية:
- وجود فتحة أو ثقب في الأسنان.
- تغير لون الأسنان.
- ألم أثناء المضغ.
- التصاق الطعام بين الأسنان.
- الحساسية تجاه الأطعمة الساخنة والباردة.
إجراءات حشو الأسنان:
يتم إجراء علاج حشو الأسنان في دبي ضمن الخطوات التالية:
- التخدير: يبدأ طبيب الأسنان بوضع مخدر موضعي على منطقة العلاج.
- إزالة التسوس: تتم إزالة المنطقة المتسوسة من السن، ويمكن استخدام أدوات مختلفة لهذا الغرض.
- مساحة الحشو: يُهيئ طبيب الأسنان مساحة للحشوة عن طريق تنظيف التجويف بعد إزالة التسوس، وفي حال كان التسوس قريباً من الجذر، يتخذ الطبيب إجراءات لحماية العصب لتجنب تلفه أولاً.
- تنظيف التسوس: يبدأ الطبيب بعد ذلك بحشو التجويف، حيث يتم وضع مادة الحشوة على طبقات، ويتم استخدام ضوء خاص لتقوية الطبقات المطبقة لملء التجويف.
- التلميع: يقوم الطبيب بعد ذلك بإزالة أي حشوة زائدة والتأكد من ملاءمتها، كما يتم إجراء بعض أعمال التلميع لضمان اندماجها تماماً مع باقي الأسنان.
- مطابقة اللون: يتأكد طبيب الأسنان من تطابق لون الحشوة مع لون أسنان المريض، ولكن في حال اختيار الحشوة الذهبية، فإنها سوف تبرز بلون ذهبي مغايير للون الأسنان.
إرشادات السلامة:
يجب اتباع الإرشادات التالية لتحسين النتائج وتجنب أي مضاعفات:
- ضرورة اطلاع الطبيب على تاريخ المريض الطبي الكامل.
- ضرورة اتباع جميع التعليمات الموصى بها.
- الإبلاغ عن أي علامات أو أعراض غير عادية.
- تجنب الأطعمة الصلبة أو اللزجة.
- حماية الأسنان من الصرير.
أنواع حشو الأسنان واسعارها:
تتراوح تكاليف حشو الأسنان في دبي بين 350 و800 درهم إماراتي للحشوة الواحدة، حيث تختلف التكاليف تبعاً لنوع المادة المستخدمة، والإجراء، وخبرة طبيب الأسنان، ويمكن تحديد التكاليف النهائية بعد استشارة الطبيب المختص في الاستشارة الأولية في عيادة رويال إنفيلد.
علاجات أخرى ذات صلة:
تشمل بعض العلاجات الأخرى التي قد تتطلب حشو الأسنان ما يلي:
- فينيرز الأسنان الخزفية، وذلك لتجميل شامل للأسنان.
- علاج قناة الجذر، وذلك عند وصول التسوس إلى لب الأسنان.
- طب الأسنان العام، وذلك عبارة عن رعاية وقائية وروتينية لجميع الأعمار.
اختيار عيادة رويال إنفيلد:
تقدم عيادة رويال إنفيلد بعض التخصصات التي تجعل العيادة هي الخيار الأمثل لحشو الأسنان في دبي:
- أطباء أسنان ذوو خبرة.
- علاج خالي من الألم.
- مواد عالية الجودة.
- تقنيات متطورة.
- مواعيد في نفس اليوم.
- تكاليف مناسبة.
- منشأة نظيفة وحديثة.
حجز موعد أولي:
يمكن حجز موعد أولي للحصول على علاج حشو الأسنان في عيادة رويال إنفيلد عبر ملء النموذج أدناه أو الاتصال بأرقام العيادة.
أسئلة شائعة حول العلاج:
هل العلاج مؤلم؟
الإجراء غير مؤلم، حيث يساعد التخدير الموضعي على تقليل الألم أو الانزعاج.
كم يستغرق العلاج؟
تختلف مدة العلاج، علماً أنه قد يستغرق من 20 إلى 40 دقيقة.
كم تدوم الحشوة؟
يمكن أن تدوم من 5 إلى 15 عاماً، حيث يعتمد ذلك على مدى العناية بها.
هل يمكن تناول الطعام بشكل طبيعي بعد العلاج؟
يمكن تناول الطعام بعد العلاج ولكن يُنصح بتناول الطعام اللين.
هل الحشوات ظاهرة؟
تمتزج الحشوات جيداً مع الأسنان الطبيعية ولا يتم ملاحظتها.
ماذا يحدث إذا لم يتم وضع حشوة؟
يمكن أن يؤدي تسوس الأسنان غير المعالجة إلى التهابات، وفقدان الأسنان، ومشاكل أسنان خطيرة أخرى.
هل يمكن استبدال الحشوات القديمة؟
يمكن استبدال الحشوات القديمة لدى طبيب الأسنان.
هل يمكن تركيب حشوات لأسنان الأطفال؟
يمكن للأطفال تركيب حشوات بأمان تماماً مثل البالغين.
هل يمكن أن تتلف الحشوات؟
يمكن أن تتآكل الحشوات أو تتشقق مع مرور الوقت، حيث تساعد الزيارات المنتظمة لطبيب الأسنان في اكتشاف أي مشاكل بشكل مبكر.








