
للأسنان السليمة ، لا تكفي الرعاية المنزلية المعتادة. يصعب تنظيف الجير واللويحة ميكانيكيًا. تبقى في تجويف الفم ، وتصبح مصدرًا لتطور البكتيريا والرائحة الكريهة والتسوس. حتى أعلى مستوى من الرعاية الذاتية في تجويف الفم لا يوفر إزالة شاملة للبلاك. من الصعب بشكل خاص إزالة الرواسب في الأماكن التي يصعب الوصول إليها. يمكن أن يساعدك تنظيف الأسنان المحترف في دبي وأبوظبي والشارقة على تنظيف أسنانك بشكل صحيح.
أساس العلاج:
تنظيف الأسنان هو إزالة البلاك والقلح من عناصر الأسنان. تتضمن مجموعة المعالجات الميكانيكية والآلية استخدام أدوات وتركيبات ووسائل مختلفة. التنظيف الاحترافي للأسنان هو أفضل وقاية من الأمراض ويتيح لك الحفاظ على عناصر الأسنان جميلة وصحية. ينظف المنطقة الواقعة بين الأسنان واللثة ، ويقوم بتنظيف المينا ، وتلميعها ، وينتهي بالاشباع بالمواد الهامة.
النتائج:
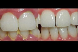
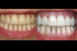
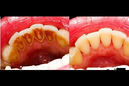
لا تسمح النظافة المهنية للفم بالقضاء على الجير فحسب ، بل تتيح أيضًا استعادة اللمعان الأساسي واللون للأسنان. بعد جميع مراحل الإجراء ، تصبح أسنانك نظيفة وصحية تتلقى علاجًا مقويًا وحماية طويلة الأمد.




المرشح المثالي:
أفضل مرشح للعلاج هو شخص يعاني من الحالات التالية:
- تراكم القلح ، الرواسب الصلبة على المينا
- الأشخاص الذين يشربون بانتظام الشاي والقهوة والدخان
- أثناء التنظيف ، يتم إزالة العامل الذي يسبب التهاب الأنسجة الرخوة
أساليب العلاج:
تستخدم عدة طرق فعالة للتنظيف:
بالموجات فوق الصوتية:
تدمر الموجات الشظايا الصلبة ، وتتم إزالة الكسور الدقيقة المكسرة بسهولة باستخدام فوهات أوتوماتيكية. تأثير الموجات فوق الصوتية غير مؤلم وآمن. العملية لا تضر بالأنسجة الصلبة. علاوة على ذلك ، تقوم الموجات فوق الصوتية بتطهير تجويف الفم ، مما يقلل من خطر الإصابة بأمراض اللثة.
تدفق الهواء:
تستخدم وحدة طب الأسنان لإزالة البلاك. كما أنها تستخدم لتلميع التيجان. يتضمن التنظيف رش نفاثة قوية من الماء والهواء ومزيج الملح. مثل هذا التأثير يؤدي إلى تدمير الحجر. طريقة التنظيف هذه فعالة للغاية. يختار الأخصائي شدة التعرض ومستوى الكشط ، مع مراعاة حالة تجويف الفم لمريض معين.
تنظيف الأسنان الفعال:
هذه الطريقة كانت موجودة منذ عقود. وعلى الرغم من ظهور طرق الأجهزة ، إلا أن أطباء الأسنان ليسوا مستعدين للتخلي عن التقنيات الآلية. هذا يرجع إلى الفعالية والسلامة النسبية. مع وجود حجم كبير من القلح على سطح الأسنان ، فإن التنظيف بالموجات فوق الصوتية واستخدام الأدوات الفعالة يزيدان بشكل كبير من الفعالية.
الإجراء:
مراحل تنظيف الأسنان المهنية في دبي هي كما يلي:
- فحص تجويف الفم. يحتاج طبيب الأسنان إلى تقييم حالة عناصر الأسنان واللثة لتحديد وجود ومدى الترسبات. أثناء الموعد ، يحدد الطبيب الطريقة المثلى لتنظيف أسنانك ، والتي تناسب حالة معينة.
- في بعض الحالات ، يتم استخدام التخدير الفموي ، مما يجعل الإجراء أقل إيلامًا.
- لتحديد حدود رواسب الأسنان ، يمكن للطبيب استخدام طرق تشخيص فريدة – صبغة عباد الشمس ، مؤشرات أخرى ، أدوات طب الأسنان.
- تتم إزالة الرواسب اللينة عن طريق العمل الفعال أو باستخدام تدفق الهواء. قد يقترح الاختصاصي طريقة مشتركة. تتم إزالة الرواسب بعناية حتى لا تتلف مينا الأسنان. يتم تطبيق نفاثة من الهواء والماء وحبوب الملح بالقوة على الأسنان باستخدام جهاز تدفق الهواء. يسمح لك الجهاز بضبط الضغط وتقليل التأثير على المناطق الحساسة في تجويف الفم.
- تستخدم أجهزة الموجات فوق الصوتية للتخلص من الرواسب الصلبة. تحت تأثير الموجات فوق الصوتية ، يتم سحق الجير إلى أجزاء صغيرة ، والتي يمكن إزالتها بسهولة من سطح المينا. يسمح لك القشرة بتنظيف المناطق التي يصعب الوصول إليها.
- ليس هناك حاجة للتنظيف الاحترافي لقنوات اللثة في جميع الحالات. مطلوب إذا تراكمت الرواسب تحت اللثة. إذا كانت القنوات ضحلة ، فسيكون التعرض بالموجات فوق الصوتية كافياً. مع عمق كبير من التجاويف ، يتم توصيل أداة ميكانيكية.
- بعد إزالة الحصوات ، يتم معالجة سطح السن. المخالفات في المينا تجعل النظافة الشخصية صعبة ، لذلك يصر طبيب الأسنان على تنعيمها. لهذا الغرض ، يتم استخدام التلميع والطحن.
- يتم التلميع باستخدام عجينة خاصة. يتيح لك هذا التأثير إزالة التشققات الدقيقة على المينا.
- سوف تجعل الصنفرة المينا ناعمة.
- بعد تنظيف الأسنان بالفرشاة عند طبيب الأسنان ، يتم استخدام العوامل الوقائية لتفلور المينا. يساعد هذا التلاعب على تقوية طبقة المينا ومنع تكون الجير.
بعد تنظيف الأسنان بالفرشاة عند طبيب الأسنان ، يتم استخدام العوامل الوقائية لتزويد المينا بالفلور. يساعد هذا التلاعب على تقوية طبقة المينا ومنع تكون القلح.
التكلفة:
يمكن أن تتراوح تكلفة تنظيف الأسنان في دبي وأبو ظبي والشارقة من 199 درهمًا إماراتيًا إلى 999 درهمًا إماراتيًا. ويتأثر السعر بعدة عوامل ، بما في ذلك خبرة طبيب الأسنان وعدد الأساليب المستخدمة وموقع العيادة ومستوىها. سيحدد الطبيب التكلفة الفعلية بعد الاستشارة الأولية.
احجز استشارة مجانية:
املأ نموذج الاستشارة أدناه لحجز موعد مجاني.








