
The first thing people notice about you is your smile. A smile is a symbol of happiness. Everyone wishes they had a white bright smile. It has the power to conquer hearts. But not many people have this superpower. This could be due to the unattractive appearance of your teeth. If you feel the unappealing flaw is stopping you from being your happy self. And even brushing your teeth regularly or maintaining good oral hygiene has not been helpful either. We have a solution for you. Dental Whitening in Dubai is an excellent option for a smile transformation. Learn more about treatment and find out if; Is Dental Whitening Worth It in Dubai, Abu Dhabi & Sharjah?
What Is Dental Whitening?
There are a lot of factors that cause paleness and discoloration on the surface of the teeth.
Dental Whitening is a safe and reliable way to clean your teeth. This is an in-office therapy. The aim of the treatment is to target the stains. And to remove them without damaging the teeth. The experts use advanced and modern dental pieces of equipment to perform the course of action. The end results are exquisite. You may need a series of sessions in order to achieve your desired results.
What Happens During A Dental Whitening Treatment?
Below is a step-by-step guide to enlighten you about the procedure of the treatment;
- Your dentist will take a good look at the condition of your teeth.
- He/She will discuss the procedure with you. And start off by cleaning your teeth first.
- A lip balm or Vaseline is applied to your lips. This prevents them from drying out.
- The expert will then protect your gums by applying barrier gels to them.
- A sheet is placed on your mouth. This is a dental dam that draws the focus on the concerned area only.
- The Orthodontist will apply the dental whitening agent on your discolored teeth.
- It takes nearly 45 minutes to complete the session. They will re-clean the surface within 15 minutes.
- There are 3 rounds to the action. After which, a UV blue light is used to seal the deal.
- In the end, the barrier is removed from the gums. The dentist will clean the area once again. And dry it. Lastly, a gel is applied to the new shiny teeth to protect the enamel.
Results:

What Are The Benefits Of Dental Whitening?
There are multiple benefits to Dental Whitening in Dubai. Read on to find out more;
- The results are instant and last for a prolonged time.
- It is a safe and effective way to give your smile the extra sparkle.
- The upgrade will boost your self-confidence. You will notice yourself going the extra mile to deliver your best.
- Everyone will compliment your big wide and bright smile.
- You are going to perform better when you are out in the public. There is nothing stopping you from seizing your moment.
- And lastly, your dental health improves. You will be taking extra care of your teeth. And visiting your dentist quite frequently to maintain the results.
Is It Worth Doing Dental Whitening?
As soon as a mirror is handed over to the candidates. This is what happens;
- The first words that come out of their mouth are; “my teeth are so white”!
- They are happy with the instant and successful outcomes.
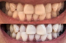
- There is always a huge difference afterward. Candidates are greatly astonished when they are shown the before and after results.
- The end results are 5 shades lighter than the previous color. Everyone appears cheerful. They can not look away from smiling at themselves.
- It’s a win-win. The happiness says it all. It is absolutely worth it to get a Dental Whitening.
Book A Consultation
If you have further concerns about your teeth discoloration. And want to learn more about Is Dental Whitening Worth It in Dubai, Abu Dhabi & Sharjah? Fill in the form below and book a consultation with our friendly team today. Or schedule an appointment with our professional experts at Enfield Royal Orthodontists Clinic.































