
Are you worried about your broken tooth? we all know any misplaced or broken tooth gives a person a weird and unpleasant look. But you need not worry as there are effective dental procedures that solve all the issues. Dental implants are also done for repairing and replacing missing and broken teeth. These implants look natural in your mouth and give you a realistic look. They serve as the best alternative to dental root canals and dentures.
You can restore your original teeth’ functioning. It is the best treatment that regains you your attractive look and beautiful smile. People usually do not take dental problems seriously and do not treat them. The damage to your teeth can also cause various other issues that can be life-threatening. Dental implants are truly excellent solutions for all dental issues such as tooth loss, gum disease, bone loss, and many others. Come and know How Long Do Implant Teeth Last in Dubai, Abu Dhabi & Sharjah and get this effective dental procedure.
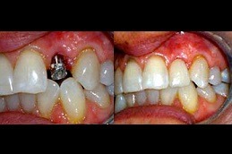
What is an Implant?
This surgical treatment is preferable for replacing lost teeth and completes and maximizes your smile potential. Dental implants are the best alternative for dentures and root canals. These implants are considered safer and less painful for tooth replacement. These implants look natural and perfect in your mouth and prove to be the best solution for broken and missing teeth. This procedure involves drilling rods into the teeth which may be painful. Many people are anxious and fearful about getting dental implants.
How is it Done?
Your doctor will give you anesthesia before the procedure. It will keep you safe from pain and discomfort.
This treatment is similar to the filling process. After the area is completely numbed, the dentist makes a cut and exposes a jawbone. The area does not have any pain as that area is completely anesthetized. After giving anesthesia, the hole is drilled into the jawbone. The jawbone has no pain sensation due to the absence of nerves. Drilling might sound painful but that area is completely numbed. Firstly the area is numbed, then incision and drilling are performed and the implant is installed into its place. Once the implant is installed properly, the incision is then closed. As the area is completely numbed by anesthesia, the patient feels no pain or sensation at all. From onward the tooth is left for healing.
Aftercare:
This is a delicate procedure and your doctor will give you some precautionary measures. Following are some general aftercare instructions
- You should avoid eating hard solid food after implants.
- Avoid smoking and drinking alcohol.
- Drink liquids or eat semi-solid food so that you can easily swallow.
- Eat panadol or another painkiller if you feel some discomfort or pain.
- Try to intake lukewarm drinks to avoid pain.
- Avoid eating spicy, harsh, solid food and beverages for one or two weeks.
- Soak your implanted area with warm saline water.
- Rinse your mouth with warm salt water and use mouthwash to kill germs and prevent infection.
How Long Do They Last?
Dental implants can last throughout your life if you brush and floss your teeth daily. Any lack of care toward implants may break them and you can feel pain and swelling in your jaws. Moreover, it provokes the risk of infection in your mouth. You should see your dentist after every 6 months to make the results long-lasting. These results last for decades and consider a permanent treatment.
Recovery and Results:
You will little tenderness and pain at the implanted site. As you are given anesthesia you will feel soreness once it subsides. You can get back to your routine work immediately after the implant. These implants last for years and even longer if you take good care of your oral hygiene.

Why Choose Us?
We have many expert dentists at our Enfield Royal Dental Clinic in Dubai that perform these cosmetic dental procedures. Moreover, we ensure dental procedures with sterilized instruments to avoid any health problems. You can get this procedure and come to know How Long Do Implant Teeth Last in Dubai, Abu Dhabi & Sharjah.
Dr. Tamim Hasan
Dr. Tamim Hasan is an experienced dentist at Enfield Royal Clinic in Dubai who is widely known for his dedication to oral health, patient satisfaction, and clinical excellence. With more than 7 years of experience in offering dental care, he has built a good reputation for his precise and gentle care. Dr. Tamim offers a wide range of dental services to deal with a lot of dental issues. ...
View Profile































