
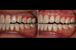
Teeth are the important part of your mouth that assist in many oral functions. The majority of people do not pay attention to teeth care and results suffer from teeth damage. They do not brush their teeth which promotes the formation of plaque on your teeth. This plaque is hard to be removed by brushing your teeth even forcefully. Dental cleaning is done to degrade the deposition of stubborn plaque on your teeth. Pay a visit and know Do Teeth Look Better After Cleaning in Dubai, Abu Dhabi & Sharjah. Give more potential to smile by getting vibrant and clean teeth.
What is It?
It is a dental procedure that is done to remove plaque and other residues from the teeth. This is done at a dental clinic using special dental instruments. It helps you in cleaning your teeth giving you bright and radiant teeth. Teeth cleaning is part of oral hygiene that helps to remove plaque, and tars to get rid of cavities and tooth decay.
How is it Performed?
This procedure is performed in the clinic under the supervision of a dentist. He will thoroughly check your teeth to observe the presence of plaque and tar all over your teeth by using a mirror. It gives them a rough idea that how healthy your teeth are and which affected teeth will be requiring more care and cleaning.
Firstly dentist will apply numbing cream to the teeth or on the side of the gums. It will save you from pain and discomfort while removing the plaque. He will see the sites of plaque and tars and remove them using a dental scaler. Your teeth may bleed while removing all the tar and plaques that can lead to tooth decay. When you are done with it your dentist will use an electric brush to remove the remaining residues. Lastly, your teeth will receive a fluoride treatment for better results.
What are the Causes of Teeth Stains?
Many external and internal causes lead to the staining of teeth. Smoking is the crucial factor that aggravates the formation of stains and yellow material on the teeth. It contains harmful carcinogens and tar compound that spoils your teeth. Excessive use of medicines also leads to discoloration of teeth. It mostly occurs through the use of tetracycline in much amounts at a young age.
Brushing your teeth regularly maintains your oral health. If you do not brush your teeth especially after eating a meal or at night it leads to plaque deposition on your teeth. The deposition of yellow lipoid material gives bad look to your teeth and disturbs your overall physical health.
Benefits:
It saves you from oral health problems and improves your oral hygiene. The presence of plaque and tar on teeth provokes the chances of oral infections. Moreover, it whitens your teeth and protects your enamel from disruption. Teeth whitening whitens your yellow teeth and you can smile with full confidence. It boosts your confidence and self-esteem and cleans your bad breath. This procedure protects your teeth from decay and increases the life span of your natural teeth. Your teeth get strong by the degradation of all harmful toxins and chemicals from teeth.
Does this Procedure Whiten your Teeth?
It is quite an effective procedure in terms of removing all the stains and tar from the teeth. Dental cleaning is not appreciable in whitening your teeth as you observe whitening teeth in teeth cleaning. However, this dental procedure removes all the stains from teeth and breaks down all the accumulated plaque.
Aftercare:
Your healthcare provider will give you some aftercare measures to follow. Some general precautionary measures that you should follow are
- You should brush your teeth regularly.
- Rinse your mouth with warm saline water after you eat the meal.
- Do not drink alcohol or carbonated drinks.
- Inhibit smoking as it is the main cause of tooth stains.
- You should use fluorinated toothpaste that protects your teeth’ enamel.
- You should eat ice creams or place ice packs to stop bleeding.
- Avoid doing intense and vigorous exercise.
What to Expect?
Your dentist applies strong force for the removal of hard plaque from teeth. This pressure causes mild pain and sensitivity for the first few days after treatment. You will also experience mild bleeding from the gums but these all signs will subside within a couple of days. Full recovery and comfort may take 5-6 weeks and you can get back to a normal eating process.
How Long Do the Results Last?
The longevity of results depends upon your oral health care and the extent of teeth damage. If your teeth are more damaged and you are a smoker the results are less likely to last longer. Maintaining your oral hygiene is the primary solution for long-lasting results.

Why Choose Us?
Come and know Do Teeth Look Better After Cleaning in Dubai, Abu Dhabi & Sharjah. We offer cost-affordable dental procedures at Enfield Royal General Dentistry Clinic in Dubai. You can treat all your dental problems by visiting our clinic. Book a consultation right away with us through the below-mentioned form.
Dr. Tamim Hasan
Dr. Tamim Hasan is an experienced dentist at Enfield Royal Clinic in Dubai who is widely known for his dedication to oral health, patient satisfaction, and clinical excellence. With more than 7 years of experience in offering dental care, he has built a good reputation for his precise and gentle care. Dr. Tamim offers a wide range of dental services to deal with a lot of dental issues. ...
View Profile































